Sykdommer i blodet (hematologi)

Denne kategorien dekker blodsykdommer med symptomer, årsaker, diagnostikk, behandlingsalternativer og grunnleggende forebygging.

Pancytopeni: Årsaker, diagnose, behandling og prognose

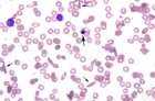
Pancytopeni er ikke en uavhengig sykdom, men et syndrom der de tre hovedlinjene av perifere blodceller reduseres samtidig: erytrocytter, leukocytter og blodplater.

Aplastisk krise: symptomer, diagnose, behandling og prognose

En aplastisk krise er en akutt og vanligvis midlertidig opphør av produksjonen av røde blodlegemer i benmargen, noe som fører til at hemoglobinnivåene faller kraftig over flere dager.

Erdheim-Chester sykdom: symptomer, diagnose, behandling og prognose

Erdheim-Chester sykdom er en ekstremt sjelden klonal histiocytisk neoplasme der unormale skummende histiocytter akkumuleres i bein og ekstraosøst vev, noe som forårsaker kronisk betennelse, fibrose og progressiv organskade.

Castlemans sykdom: symptomer, former, diagnose og behandling

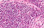
Castlemans sykdom er en sjelden gruppe lymfoproliferative lidelser der lymfeknutene blir forstørrede og utvikler karakteristiske forandringer under et mikroskop.

Primær myelofibrose: symptomer, diagnose, behandling og prognose

Primær myelofibrose er en kronisk klonal ondartet sykdom i det hematopoietiske systemet fra gruppen myeloproliferative neoplasmer.

Hypoproteinemi: Årsaker, symptomer, diagnose, behandling og prognose

Hypoproteinemi er en tilstand der det totale serumproteinet synker under den nedre grensen for laboratorienormen.

Benmargssykdommer: symptomer, diagnose, behandling og prognose

Benmargssykdommer er ikke én enkelt diagnose, men en stor gruppe tilstander der dannelsen av blodceller forstyrres eller benmargen erstattes av en patologisk klon av celler, fibrøst vev eller tumorinfiltrat.

Hemorragisk purpura: Årsaker, symptomer, diagnose, behandling og prognose

Hemoragisk purpura er ikke en egen sykdom, men et klinisk syndrom der ikke-forhøyede hemoragiske elementer vises på huden og noen ganger på slimhinnene som ikke forsvinner når de trykkes.

Purpura: Årsaker, typer, advarselstegn, diagnose og behandling

Purpura er en ikke-blekende blødning i huden eller slimhinnene som er større enn 2 millimeter.

Medikamentindusert trombocytopeni: årsaker, symptomer, diagnose og behandling

Medikamentindusert trombocytopeni er en reduksjon i antall blodplater i blodet som utvikler seg etter inntak av et legemiddel på grunn av ødeleggelse av blodplater, hemming av dannelsen av dem i benmargen, eller, sjeldnere, på grunn av en kombinasjon av flere mekanismer.

Pages