MR diagnostikk

MR-diagnostikksenter: indikasjoner, forberedelse, kontraindikasjoner, kontrastmiddelsikkerhet og hvordan funn tolkes.

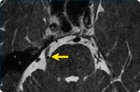
MR av trigeminusnerven: hva testen viser, når den foreskrives og hvordan man tolker resultatene

I praksis refererer begrepet «magnetisk resonansavbildning av trigeminusnerven» vanligvis ikke til et enkelt bilde av en liten del av nerven, men til en spesialisert studie av hjernen og hodeskallens base med en tynnskåret målrettet protokoll langs trigeminusnervens forløp.

Kontraindikasjoner for MR: Hva testen forbyr og hva som krever spesiell forberedelse

Den moderne tilnærmingen til kontraindikasjoner for magnetisk resonansavbildning har blitt merkbart mindre kategorisk enn for 10–15 år siden.

MR av lårbenet: hva det viser, når det foreskrives, hvordan det utføres

Magnetisk resonansavbildning av lårbenet er en studie som bidrar til å se ikke bare den ytre konturen av beinet, men også benmargen, trabekulær struktur, periosteum, tilstøtende muskler, sener, vaskulære og inflammatoriske forandringer.

Forberedelse til en abdominal MR: Hva du skal spise, drikke og ta med

Forberedelsen til magnetisk resonansavbildning av abdomen avhenger ikke bare av selve enheten, men også av formålet med undersøkelsen.

MR av bløtvev: hva testen viser, når den foreskrives, og om kontrastmiddel er nødvendig

Magnetisk resonansavbildning (MR) av bløtvev er en avbildningsteknikk som bruker et kraftig magnetfelt, radiofrekvenspulser og datasignalbehandling for å produsere detaljerte bilder av indre strukturer uten ioniserende stråling.

MR av benmarg: Hva den viser, når den foreskrives og hvordan den tolkes

Benmarg er ikke bare et «fyllstoff» inne i beinene, men et aktivt vev der blodceller dannes og hvor forholdet mellom hematopoietiske og fettkomponenter stadig endrer seg.

MR-kolangiografi: hva viser en gallegangsundersøkelse, når foreskrives den, og hvordan er den bedre enn invasiv diagnostikk?

Magnetisk resonanskolangiografi er en spesiell type magnetisk resonansavbildning (MR) som er utviklet for å gi detaljerte bilder av leveren, galleblæren, gallegangene, bukspyttkjertelen og bukspyttkjertelgangen.

MR av lunger og bronkier: hva den viser, når den forskrives, og hvordan den skiller seg fra CT-skanning

Magnetisk resonansavbildning av lunger og bronkier har lenge vært ansett som en metode med begrenset verdi for brystkassen fordi lungevev har få protoner, signalet svekkes raskt, og respirasjons- og hjertebevegelser skaper artefakter.

MR av nyrene: Hva viser testen, når foreskrives den, og er kontrastmagnetisk resonanstomografi nødvendig?

Renal magnetisk resonansavbildning er en ikke-invasiv test som produserer detaljerte bilder av nyrevev, blodårer og omkringliggende strukturer uten bruk av røntgenstråler.

MR under anestesi: når er det nødvendig, hvordan utføres det, og hvor trygt er det?

I dagligtale brukes uttrykket «magnetisk resonansavbildning under anestesi» ofte svært bredt, men i medisinsk praksis kan det skjule varianter som varierer i dybde og risiko.

Pages